Porcine Ileum - Glass slide #161
Porcine Ileum - Glass slide #161
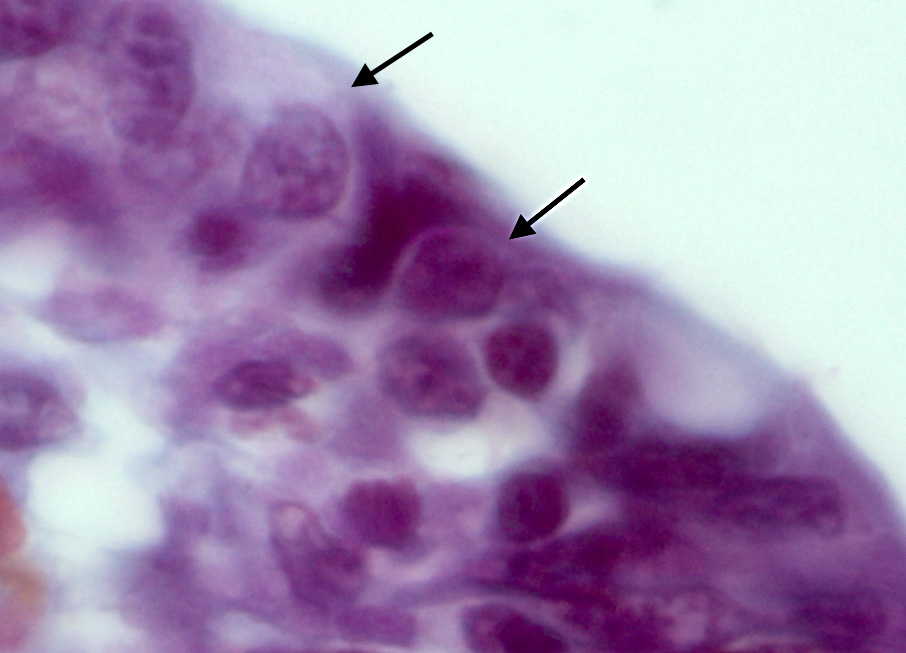
M-cells can be difficult to recognize on glass slide #161 because of the section thickness. This image of probable M-cells is digitally synthesized from four different focal planes taken with a 100X objective. Note a small lymphocyte within the recess created by each cell. The apical surface of M-cells typically has low microvilli and is slightly recessed, forming a small indentation. [In this example the detailed surface morphology is blurred due to the imaging technique.] M-cells are often associated with subepithelial macrophages when they are actively phagocytizing potential antigens.